
최근 김성제 의왕시장이 심정지 상태로 발견되어 응급처치 후 병원 치료 중이라는 뉴스로 많은 사람들이 놀랐는데요. 중년 이후 발생하는 심정지는 예고 없이 찾아와 개인과 가족의 삶에 치명적인 영향을 미칠 수 있습니다. 그러나 심정지는 단순한 돌발 사고가 아니라, 대부분 오랜 기간 누적된 심혈관 위험요인과 생활습관에서 비롯됩니다.
중년층에서 심정지가 발생하는 주요 원인부터 예방 방법, 실제 발생 시 올바른 대처, 그리고 생존율을 좌우하는 핵심 요소까지 체계적으로 살펴보고자 합니다.

중년 심정지 주요 원인
중년 이후 심정지는 단순한 노화 현상이 아니라 누적된 심혈관 위험요인과 밀접하게 연관됩니다.
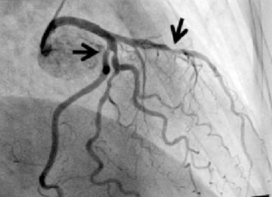
가장 흔한 원인은 관상동맥의 죽상경화로 인한 급성 심근경색입니다. 이 과정에서 심실세동이나 심실빈맥 같은 치명적 부정맥이 동반되며 심정지로 이어질 수 있습니다.
또한 고혈압과 당뇨병, 이상지질혈증은 심근 구조와 전기적 안정성을 무너뜨려 심정지 위험을 높입니다.
중년 남성에서는 관상동맥질환 비율이 높고, 여성은 폐경 이후 호르몬 변화로 심혈관 위험이 급증하는 특징이 있습니다.
이외에도 수면무호흡증, 만성 신장질환, 심근병증, 과도한 음주와 흡연 역시 중요한 위험 요인으로 작용합니다.
1. 관상동맥질환과 급성 심근경색
중년 심정지의 가장 핵심적인 원인은 관상동맥질환입니다. 관상동맥 내 죽상경화가 진행되면 혈관 내강이 좁아지고, 혈전이 형성되면서 심근으로 가는 혈류가 갑자기 차단될 수 있습니다. 이로 인해 급성 심근경색이 발생하며, 심실세동이나 심실빈맥 같은 치명적 부정맥이 동반되면 즉각적인 심정지로 이어질 수 있습니다.
특히 고혈압, 당뇨병, 이상지질혈증, 흡연력이 있는 중년층에서는 증상이 경미하거나 비전형적으로 나타나는 경우가 많아 조기 발견이 어렵습니다.


2. 치명적 부정맥
심정지는 심장 구조 이상이 없더라도 전기적 불안정성만으로 발생할 수 있습니다.
중년층에서는 심실세동과 심실빈맥이 대표적이며, 심근 허혈이나 심근 섬유화가 전기 신호 전달을 방해하면서 발생합니다.
또한 브루가다 증후군이나 긴 QT 증후군 같은 유전성 이온통로 질환은 젊은 시기에는 무증상으로 지내다가 중년에 들어 심정지로 처음 발견되는 사례도 적지 않습니다.
수면 중 돌연사의 상당 부분이 이러한 부정맥과 연관됩니다.

3. 심근병증과 심부전
확장형 심근병증이나 비후형 심근병증은 심근의 구조적 변형을 유발하여 심장의 펌프 기능과 전기적 안정성을 동시에 저하시킵니다.
중년 이후 장기간 고혈압이나 심근 허혈이 지속되면 심근이 두꺼워지거나 늘어나면서 심부전으로 진행할 수 있습니다.
이 과정에서 심장은 충분한 혈액을 박출하지 못하고, 작은 전기 자극에도 치명적인 부정맥이 발생할 가능성이 높아집니다.
4. 대사질환과 전해질 이상
중년 이후 흔히 동반되는 당뇨병과 만성 신장질환은 심정지 위험을 크게 증가시킵니다.
특히 고칼륨혈증이나 저칼륨혈증은 심장 전도계를 직접적으로 교란해 심각한 부정맥을 유발할 수 있습니다.
심한 저혈당 역시 교감신경 과활성을 통해 심장 리듬 이상을 초래할 수 있으며, 음주 후 발생하는 대사성 산증도 위험 요인으로 작용합니다.
5. 수면무호흡증과 자율신경 이상
중년 남성에서 흔한 폐쇄성 수면무호흡증은 야간 저산소증과 반복적인 교감신경 자극을 유발합니다.
이로 인해 혈압 변동성이 커지고 심박 리듬이 불안정해지며, 야간 심정지 위험이 증가합니다.
수면 중 심한 코골이, 낮 시간 졸림, 아침 두통이 반복된다면 단순 피로가 아닌 심혈관 위험 신호로 평가해야 합니다.
6. 생활습관 요인과 급성 유발 인자
과도한 음주, 갑작스러운 격렬한 운동, 탈수 상태, 감염성 질환은 심정지를 촉발하는 직접적인 계기가 될 수 있습니다.
특히 평소 심혈관 질환이 있는 중년층에서 무리한 활동이나 음주 후 심정지가 발생하는 사례가 임상에서 자주 보고됩니다.
이러한 급성 요인은 기존의 심장 취약성을 드러내는 방아쇠 역할을 합니다.
심정지 예방 방법
심정지는 상당 부분 예방 가능한 질환입니다.
가장 기본은 혈압, 혈당, 콜레스테롤을 정상 범위로 유지하는 것입니다. 정기적인 건강검진을 통해 심전도 이상, 심근 비대, 관상동맥 위험 신호를 조기에 발견하는 것이 중요합니다.
유산소 운동과 근력 운동을 병행하면 심근 기능과 자율신경 균형이 개선됩니다.
금연은 심정지 예방에서 가장 강력한 단일 개입이며, 음주는 절주가 원칙입니다.
가슴 통증, 호흡곤란, 이유 없는 실신, 심한 두근거림이 반복될 경우에는 단순 스트레스로 넘기지 말고 심장 정밀검사를 받아야 합니다.
심정지 발생 시 대처
심정지는 발생 직후 분 단위 대응이 생존을 좌우합니다.
환자가 의식을 잃고 호흡이 없거나 비정상적일 경우 즉시 응급의료체계에 신고해야 합니다.
주변에 자동심장충격기가 있다면 지체 없이 사용해야 하며, 심폐소생술을 병행하면 생존 가능성이 크게 높아집니다.
가슴 압박은 일정한 깊이와 속도를 유지하며 지속하는 것이 핵심이며, 구급대가 도착할 때까지 중단하지 않는 것이 중요합니다.
심정지 상황에서는 망설임이 가장 큰 위험 요소입니다.
심정지 생존율과 예후
심정지 전체 생존율은 여전히 낮은 편이지만, 목격된 심정지와 조기 심폐소생술, 자동심장충격기 사용이 이루어진 경우 생존율은 크게 향상됩니다.
특히 공공장소에서 발생한 심정지는 초기 대응이 빠를수록 신경학적 후유증 없이 회복할 가능성이 높습니다.
반면 심정지 이전에 심각한 심부전이나 만성 질환이 있었던 경우 예후는 상대적으로 불량할 수 있습니다.
결국 심정지는 발생 후 치료보다 사전 예방과 즉각적인 대응 체계가 생존을 결정짓는 핵심 요소입니다.
겨울철 실내 환기 꼭 하세요![공기 청정기, 환기 방법, 미세먼지, 산소공급]
공기 청정기를 사용하더라도 실내 환기는 반드시 필요합니다. 미세먼지보다 더 중요한 것은 산소 공급과 이산화탄소 배출입니다. 겨울철 환기를 소홀히 하면 실내 공기 질은 빠르게 나빠지고,
joinracha-ad.net
냉동밥, 다이어트에도 좋은 이유, 영양소까지 지키는 ‘최강 조리법’
냉동밥은 “살찌는 간편식”이라는 고정관념과 달리, 다이어트에 도움이 되고, 영양소 파괴까지 최소화할 수 있는 조리 방식이 존재합니다. 특히 전분의 구조 변화, 저항전분 증가, GI 조절 효과
joinracha-ad.net
대상포진이 노령층 건강에 미치는 위험성과 예방 전략[대배우 김지미 대상포진 후 건강 악화로
최근 여배우 김지미 대상포진 이후 건강 악화로 별세했다는 소식에 고령층 대상포진의 위험성이 다시 주목되고 있습니다. 대상포진은 단순한 피부질환처럼 보이지만, 실제로는 신경계까지 침
joinracha-ad.net
50대 갱년기 여성 손가락·손목 관절 관리법
갱년기 시기에 나타나는 손가락·손목 통증은 단순한 노화의 결과가 아니라, 호르몬 변화와 관절의 미세염증이 결합해 발생하는 의학적 상태입니다. 특히 50대 여성에게는 가사 활동, 직장 업무,
joinracha-ad.net
병원 내 다제 내성균 검사 방법, 격리 기준과 감염관리 프로토콜
병원에서 발생하는 다제 내성균 감염은 환자의 생명과 직접 연결되는 매우 중요한 문제입니다. 면역력이 약한 환자가 많은 중환자실이나 장기 입원 병동에서 감염이 발생하면 치명적인 결과로
joinracha-ad.net
'건강과 웰니스' 카테고리의 다른 글
| 5%클라스코테론(Clascoterone) 임상 3상 통과, 탈모인에게 게임체인저가 될까? (0) | 2025.12.17 |
|---|---|
| 안구 건조증, 견과류 6개월 먹고 인공 눈물 끊은 후기 (0) | 2025.12.16 |
| 겨울철 실내 환기 꼭 하세요![공기 청정기, 환기 방법, 미세먼지, 산소공급] (0) | 2025.12.13 |
| 냉동밥, 다이어트에도 좋은 이유, 영양소까지 지키는 ‘최강 조리법’ (0) | 2025.12.12 |
| 대상포진이 노령층 건강에 미치는 위험성과 예방 전략[대배우 김지미 대상포진 후 건강 악화로 별세] (0) | 2025.12.11 |